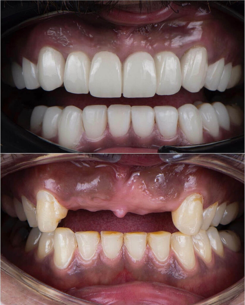
Before & After Photos - Lake Havasu City, AZ
Crafting Smiles, One Unique Need at a Time
Find out if you're a
candidate for dental implants
Answer the Following Questions To Learn more about our pricing and financing options.
