Same Day Teeth in Lake Havasu What to Expect

One of the first things people search for when considering treatment is dental implant cost in Lake Havasu. It is completely understandable. Before making any major decision, you want to know what to expect and whether it fits into your plans long term. The answer is not always as straightforward as people hope, and that […]
A Better Alternative to Dentures in Lake Havasu

If you have been searching for alternatives to dentures, you are not alone. Many people in Lake Havasu reach a point where they start wondering if there is a more stable and comfortable option available. That is usually when implant-supported teeth in Lake Havasu patients begin to come into the conversation. Dentures have been around […]
What Most People Get Wrong About Dental Implants

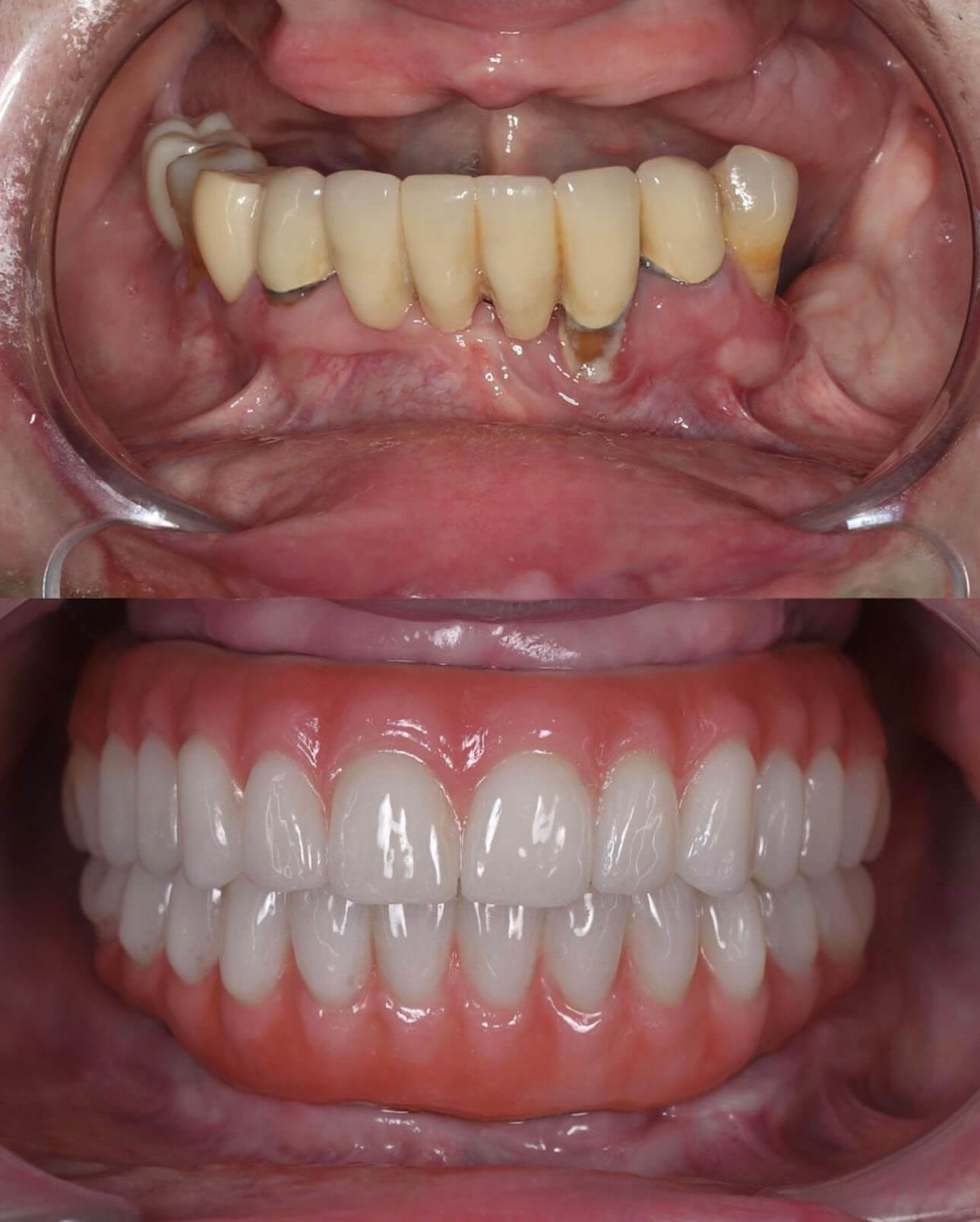
A lot of people hesitate when they first hear about full arch dental implants Lake Havasu providers offer, and honestly, it usually comes down to a few common misconceptions. By the time patients walk into our office, they’ve often already made assumptions about what the process is like, how it feels, or whether it’s even […]
Tired of Dentures? This Might Be the Solution

If you’ve been dealing with dentures for a while, there’s a good chance you’ve already adjusted your life around them. Most people don’t realize how much they’ve adapted until they start looking into full-arch dental implants, which Lake Havasu patients are now choosing as a long-term solution. What once felt temporary slowly becomes routine, even […]
When You Stop Questioning Your Smile

Smile confidence is something most people do not think about until it starts to fade. When patients begin searching for smile confidence, it usually means they have noticed a shift in how they feel about their teeth. People looking into smile confidence often come across the smile-confidence-lake-havasu page because they are trying to understand if […]
When Your Smile Starts to Feel Like You Again

Natural smile restoration is something many patients begin thinking about long before they ever say it out loud. When people start searching for natural smile restoration, they are usually not focused on perfection. They are focused on feeling like themselves again. Many who find the natural-smile-restoration-lake-havasu page are not asking for a dramatic transformation. They […]
Why Patients Are Choosing All-on-4® Implants in Lake Havasu

Why More Patients Are Choosing All-on-4® Implants in Lake Havasu Patients searching for All-on-4® implants often arrive at an important realization. They are no longer looking for temporary dental repairs. They are looking for something permanent. In Lake Havasu City, the phrase All-on-4® implants has become increasingly common as patients research full arch restoration options. […]
Why Stability Matters More Than Perfect Teeth

A stable teeth solution is often what patients are truly searching for when dental problems begin to affect their everyday lives. Many people begin researching a stable teeth solution after years of managing repairs, dentures, or failing teeth. When patients find information through the stable-teeth-solution-lake-havasu page, they often realize that what they really want is […]
Why Full Arch Implants Are Changing Smiles

Full arch implants are becoming one of the most discussed dental solutions for patients who want a long-term answer to failing teeth. When people begin researching full arch implants, they are often trying to understand whether full arch implants can finally replace years of temporary dental work. Many patients discover the full-arch-implants-lake-havasu page while searching […]
Full Arch Implants in Lake Havasu Restore Real Stability

Full Arch Implants Lake Havasu Restore Real Stability Full arch implants are becoming one of the most searched dental solutions for patients looking to rebuild their smile with long-term stability. When people begin researching full arch implants, they are usually searching for something deeper than cosmetic change. Full arch implants represent the possibility of finally […]
