A permanent teeth solution is something many patients begin searching for after years of managing dental problems that never seem fully resolved. When people research a permanent teeth solution, they are often looking for a way to stop the cycle of repairs and adjustments that can come with traditional dental work. Many patients who discover the permanent-teeth-solution-lake-havasu page while researching treatment options are hoping that a permanent teeth solution might finally allow them to rebuild their smile with lasting stability.
Dental problems rarely appear overnight. They usually develop gradually through years of normal wear, dental treatments, and occasional unexpected issues. A filling might eventually need a crown. A crown may weaken over time. A missing tooth might lead to a bridge or denture. Each step is meant to restore function, but over the years, some patients begin to feel as though they are constantly maintaining their teeth rather than enjoying them.
That is where modern implant dentistry changes the conversation.
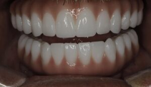
All-on-4® dental implants are designed to provide a permanent teeth solution by replacing an entire arch of compromised teeth with a stable structure supported by four implants. These implants are placed directly into the jawbone, creating a strong foundation that allows a full set of prosthetic teeth to function naturally.
The concept is simple but powerful.
Instead of repairing individual teeth again and again, the entire structure of the smile is rebuilt. This approach often appeals to patients who feel they have reached a point where repairing isolated teeth is no longer providing reliable results.
At Full Arch Dental Implant Center in Lake Havasu City, Dr. Kaushesh evaluates each patient carefully before recommending treatment. Advanced imaging allows the team to analyze bone density, alignment, and overall oral health. This information helps determine whether All-on-4® dental implants can provide the permanent teeth solution a patient is seeking.
Many people are surprised to learn that dental implants do more than simply hold replacement teeth in place. Implants also interact with the jawbone during chewing, helping preserve bone density. When teeth are missing, the jawbone can gradually shrink because it is no longer stimulated by natural tooth roots. Dentures do not prevent this process.
Implants help maintain bone structure, which supports both facial appearance and long-term stability.
Patients often describe living with unstable teeth or dentures as something they quietly adapt to. They may avoid certain foods. They may chew carefully in restaurants. They may hesitate before smiling widely in photographs.
These habits become routine, but they also remind patients that their smile does not feel fully dependable.
When a permanent teeth solution is achieved with implant-supported teeth, many patients experience a noticeable change in everyday life. Eating becomes easier. Speech feels more natural. Smiling feels comfortable again.
The emotional impact of this stability can be significant.
Confidence often returns in small moments rather than dramatic changes. Patients find themselves laughing freely in conversations or enjoying meals they had avoided for years.
Another factor that patients consider is long-term value. While the initial investment in All-on-4® dental implants may appear significant, many individuals realize they have already spent years paying for repairs, adjustments, denture relines, and replacements. Over time, those costs can accumulate.
A permanent teeth solution consolidates treatment into a structure designed for durability.
Patients from Lake Havasu City, Parker, Bullhead City, Kingman, and nearby communities often visit Full Arch Dental Implant Center because they want a comprehensive solution rather than another temporary fix.
During a complimentary consultation, Dr. Kaushesh and his team review imaging and explain possible treatment options in detail. This conversation allows patients to understand whether implants are appropriate for their situation and what results they can realistically expect.
Many patients leave this consultation feeling relieved simply because they finally have a clear path forward.
A permanent teeth solution does not promise perfection. Instead, it focuses on reliability. When teeth feel secure and stable, daily life becomes easier.
Meals feel natural. Conversations feel relaxed. Smiles become effortless.
For many patients in Lake Havasu City, that sense of stability is exactly what they have been searching for.
And that is why a permanent teeth solution continues to change the way people think about rebuilding their smiles.


